典型症状:呼吸困难。轻度白肺病时,呼吸困难通常在剧烈活动时出现,易被忽视或误诊。随着病情发展,静息状态下也可能出现呼吸困难。其他症状:伴有干咳、乏力等症状,部分患者可能出现指间杵状,还有全身不适、体重减轻和发热等表现。并发症状:若合并肺气肿,患者稍有活动即出现气短、胸闷等症状。
白肺初期症状可能包括发热、乏力、食欲下降、咳嗽和呼吸困难等。当肺炎发展到重症阶段,肺部功能受损,身体缺氧,因此会出现咳嗽和呼吸困难等症状。一旦出现白肺症状,应通过血常规、CT等检查来确定病因,并在医生的指导下进行针对性治疗。如果治疗不及时,可能会导致缺氧加重,影响器官功能,甚至危及生命。
白肺病的症状主要与导致其出现的原发病相关,常见表现如下:呼吸系统症状:咳嗽、咳痰是常见症状,部分患者可能咳出脓性或血性痰液。呼吸困难最为典型,初期可能表现为活动后气促,随着病情进展可发展为静息状态下呼吸急促,严重时导致呼吸衰竭,需依赖机械通气维持生命。
白肺主要表现为呼吸困难进行性加重,伴有严重缺氧、呼吸衰竭症状,如呼吸急促、呼吸窘迫、紫绀、呼吸时三凹征及双肺大量湿啰音等。常见引起白肺的情况包括严重的肺水肿、肺不张、肺梗死以及严重的肺部炎症(如重症肺炎)。
典型症状:呼吸困难。轻度白肺病时,呼吸困难通常在剧烈活动时出现,易被忽视或误诊。随着病情发展,静息状态下也可能出现呼吸困难。其他症状:伴有干咳、乏力等症状,部分患者可能出现指间杵状,还有全身不适、体重减轻和发热等表现。并发症状:若合并肺气肿,患者稍有活动即出现气短、胸闷等症状。

白肺病的症状主要包括呼吸困难、咳嗽、咳痰、乏力以及精神状态异常等;其原因多样且复杂,主要包括感染因素和非感染因素。症状: 呼吸困难:白肺病患者可能出现明显的呼吸急促,甚至呼吸衰竭。 咳嗽与咳痰:这是肺部试图排除病理产物的自然反应。 乏力:患者可能感到全身无力。
白肺的主要症状 严重缺氧:白肺患者最主要的症状是严重的缺氧,这种缺氧不能通过一般的氧疗来改善。胸闷、气喘、呼吸困难:由于肺部功能受损,患者会感到胸闷、气喘,甚至出现呼吸困难和呼吸窘迫。咳嗽与呼吸衰竭:白肺患者常伴有咳嗽,严重时可能出现呼吸衰竭,甚至昏迷。
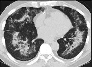
1、“白肺”是指肺部在影像学上出现的白色区域,主要由严重的病毒性肺炎等引起,预防以预警为主。“白肺”从医学上来说,有两种情况:原有肺部疾病:例如肺纤维化、肺结核等,肺部受到了损伤,在影像学上会出现白肺。

2、白肺是指肺部在影像学检查中呈现大片白色阴影的状态,通常代表肺部存在严重的炎症或感染。在肺炎诊断中,白肺往往意味着病情较为严重,需要引起高度重视。白肺的具体含义白肺这一术语并非专业的医学诊断名词,而是对肺部影像学检查结果的一种形象描述。
3、白肺病并非独立疾病,而是指疾病导致肺部大片密度增高,且相对均匀,具体情况如下:如果是感染导致的白肺,通常为重症肺炎,在感染的基础上会有大量渗出。尤其是同时合并心力衰竭,导致毛细血管通透性增加,肺静脉压力增加,导致间质和肺泡水肿。在原有感染的基础上出现大片密度增高,以及均匀阴影。
4、小儿白肺病,又称为儿童肺纤维化,是一种罕见的、严重的肺部疾病,主要影响儿童。这种疾病的主要特征是肺部的炎症和纤维化,导致肺部组织变硬,影响正常的呼吸功能。小儿白肺病的确切原因尚不清楚,但研究表明,可能与遗传、环境和免疫系统异常等因素有关。
5、白肺一般是指重症肺炎其在x线下的表现,肺部显影呈一大片的白色状而得名,形成白肺一般都预示着肺部被炎症所浸润,白肺是肺炎中死亡率极高的一种疾病。
1、去年,美国曾出现一种被称为“白肺病”的不明肺炎,当时有报道称其可能与抽电子烟有关。然而,经过后续的检测和调查,发现这一病症与电子烟并无直接关联。具体来说,在2019年6月至10月期间,美国多个州报告了多起病因不明的严重肺部病症病例,这些病例在拍片时呈现出肺部白化现象,因此被称为“白肺病”。
发表评论
暂时没有评论,来抢沙发吧~