答案:重点疫区主要包括湖北、广东、黑龙江等省份。详细解释: 重点疫区的定义与划分:重点疫区指的是新型冠状病毒疫情较为严重的地区,通常以某一省份为主要疫源地。具体的划分是基于疫情的感染人数、传播范围、医疗资源等多方面的因素综合考量得出的。
新冠疫情爆发时间是2019年12月2日。新冠疫情是指新型冠状病毒感染导致的肺炎疫情。该疫情自在中国湖北省武汉市首次爆发以来,迅速在全球范围内传播,对全球公共卫生和经济发展造成了巨大冲击。以下是关于新冠疫情爆发时间的 新冠疫情首次爆发的确切日期是2019年12月2日。
新冠疫情是2019年12月开始的,最初爆发城市是武汉。根据当时的就医时间来判断,在12月12日一名华南海鲜市场的患者前往武汉医院,当时这名患者出现了高烧、干咳等症状。之后陆续发现就医人群与第一名患者出现的病症相同,后经过检测,确认这是一种新型冠状病毒。
新冠病毒的传播始于2019年12月初,当时湖北武汉出现了多例新型冠状病毒感染病例,并出现了首位死亡病例。 随着时间的发展,新冠病毒在2020年1月份开始出现人传人的现象,引起了全球的关注。 新型冠状病毒疫情自2019年12月起开始出现,并在2020年初迅速蔓延至全球多个国家和地区。
新型冠状病毒肺炎(Corona Virus Disease 2019,COVID-19),简称“新冠肺炎”,世界卫生组织命名为“2019冠状病毒病”,是指2019新型冠状病毒感染导致的肺炎。
新冠疫情爆发时间为2019年12月。具体时间点:根据已知资料,新冠疫情首次爆发是在2019年12月,当时在中国湖北省武汉市首次发现了多例新型冠状病毒感染的肺炎病例。疫情扩散:随着病毒的进一步传播和扩散,疫情逐渐在全球范围内蔓延,成为全球关注的重大公共卫生危机。
1、来看看国外新发肺炎的实时动态吧!听说新型肺炎到处封路,我现在在贵州纳雍,我要去福建厦门,现在可以去吗?听说新型肺炎到处封。现在在贵州纳雍。如果想去福建厦门,现在就可以去,但是一定要注意安全防范。这种新型肺炎是什么时候开始的?我没有关注球形肺炎的动态。
2、俄罗斯俄罗斯防疫总部26日宣布,俄罗斯将从11月28日起限制来自非洲9国和中国香港的外国公民入境,以防范新冠肺炎新型变种。
3、没有。德兴南昌高速公路,简称德昌高速,又称德昌高速公路,于2008年11月获得江西省发展和改革委员会批准立项,列入江西省重点公路基本建设计划。南昌麻丘高速是德兴南昌高速公路的一段路程。根据查询资料显示:截止2022年10月4日,南昌麻丘高速路口属于常态化防控区域,没有封。
现在去外地是否需要核酸,需根据目的地、出发地及个人情况综合判断,具体如下:国内跨省流动:多数地区无需核酸,但需关注特殊政策目前全国疫情总体平稳,多数省份对低风险地区人员跨省流动已取消强制核酸检测要求,仅需健康码绿码即可通行。例如,海南、云南等地明确取消低风险地区游客的核酸查验。
芒市对来(返)芒人员的核酸检测要求根据现行政策,所有从外地(包括贵阳)进入芒市的人员,必须持有48小时内核酸检测阴性证明。该证明需为正规医疗机构出具,且采样时间至航班起飞时间不超过48小时。若核酸检测报告超过48小时,可能被拒绝登机或入境后需接受额外管控措施。

目前从广州出发去往外地的人员,不需要进行隔离,但需要提供核酸检测结果。 6月6日上午的最新消息显示:离开广州并前往省外的人,必须持有48小时内的核酸检测阴性证明。
总之,现在去云南旅游一般不需要隔离或核酸检测,但仍需根据具体情况和疫情防控政策来确定。希望游客们在享受云南美景的同时,也能做好个人防护,确保旅途愉快且安全。
需要:现在去桂林旅游,外地游客需要提前做核酸检测,并持有48小时内的核酸检测阴性证明。这是为了确保游客不携带病毒到达桂林,从而减少交叉感染的风险。在隔离期间,也可能需要进行多次核酸检测以确保人员的健康状况。
上海现在可以去外地吗 上海低风险地区人员是可以出沪去外地的,而中高风险地区人员是不能随意出沪去外地的,需要核酸检测阴性证明,具体要看各个地区的相关防控措施。根据市防疫指挥部的研究,上海祝桥镇新生小区被列为中等风险,其他地区的风险水平保持不变。
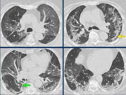
1、病原学检查中,普通发烧通过相应检测明确病因,新型冠状病毒感染主要通过核酸检测确诊,血清学检测也可辅助诊断。影像学检查上,普通发烧上呼吸道感染时胸部影像学一般无明显异常,新型冠状病毒感染患者早期胸部CT有特定表现。
2、流行病学史:需确认是否有与确诊病例或疑似病例的密切接触史,或是否近期前往过疫情高发地区。若存在相关暴露史,感染风险显著增加。其他症状:新型冠状病毒感染者常伴随发热、干咳、乏力、呼吸困难等症状。若流清鼻涕同时出现上述症状,需高度警惕;若仅为单一流涕,则更可能与普通感冒或过敏相关。

3、接触史与流行病学关联:若患者有确诊/疑似病例接触史、疫区旅行史或聚集性发病史,感染新型冠状病毒风险显著升高。普通发烧通常与近期接触感染源(如流感患者)或特定环境(如污染水源)相关,但无明确流行病学链。
国内感染地区:新型冠状病毒已在我国31个省、自治区、直辖市均有病例报告,覆盖范围广泛。其中,湖北省是疫情最为严重的地区,而武汉市作为湖北省会,是疫情的核心区域。截至相关统计时间点,武汉市累计确诊病例已超过5000例,同时存在大量疑似病例,反映出当地疫情的严峻性。
广西存在新型冠状病毒感染病例。目前全国各省份均报告了新型冠状病毒感染患者,但感染人数因地区而异。以下是具体说明: 疫情分布的普遍性新型冠状病毒(COVID-19)自2020年全球大流行以来,已覆盖中国所有省级行政区。广西作为中国的一个省级单位,同样存在感染病例。
均有。根据查询疫情实时追踪得知,截止到2022年11月5日,全国各地均有新型冠状病毒,到2022年7月17日,全国只有新疆、西藏、宁夏和河北4地暂无疫情。新型冠状病毒是2019年底引起大规模传播的不明原因的病毒性肺炎,在2020年1月12日被世界卫生组织命名为“2019新型冠状病毒”,简称为新型冠状病毒。
年4月:8日:武汉正式解封,中国新冠防控首战告捷。2021年:春季:开始大规模疫苗接种计划。秋季:德尔塔变异株引发多地小规模疫情,继续实施精准防控策略。12月:中国疫苗接种率已达到较高水平,并推进加强针接种。2022年:年初:奥密克戎变异株传播,多地相继出现疫情,通过严格防控得到迅速控制。
中国疫情解封的标志性时间为2022年12月26日,相关管理政策调整的实施日期为2023年1月8日。具体解封过程及政策调整如下:解封政策发布时间2022年12月26日,国家卫生健康委员会发布《关于对新型冠状病毒感染实施“乙类乙管”的总体方案》。
中国新冠疫情的解封时间可以视为2022年12月26日,但正式解除甲类传染病预防、控制措施是在2023年1月8日。初步解封公告时间:2022年12月26日,国家卫生健康委员会发布公告,将新型冠状病毒肺炎更名为新型冠状病毒感染,这可以被视为新冠疫情解封的一个初步信号。
发表评论
暂时没有评论,来抢沙发吧~