ct值hu正常数值是50~70。如果数值偏低与正常值都是由于脂肪肝所引发的可能性比较大,必须要结合临床实际情况,建议根据相应的辅助检查结果可以到当地医院的门诊进行咨询就诊。
CT值HU并无统一的“正常值”,而是因组织或病变部位不同存在显著差异。以下是常见组织或病变的CT值HU范围:软组织与液体类:目前测得的CT值范围较广,普通软组织CT值大约在0到1HU之间,例如肌肉组织。脑脊液作为特殊液体,其CT值大约为3到8HU之间,显著低于软组织。
脾脏的CT值在30到40HU范围内,表明其密度处于正常水平。这意味着脾脏的组织结构没有异常,没有出现病变或炎症等状况。脾脏作为人体的重要免疫器官之一,其健康状态对于维持身体的正常功能至关重要。
正常肾上腺组织有相对稳定的密度范围,但仅靠CT值无法绝对区分肾上腺瘤的良恶性。良性肾上腺瘤的CT值通常在10-30HU左右,例如肾上腺皮质腺瘤平扫CT值多在10-20HU,但不同类型良性瘤的CT值可能存在差异,且CT值受个体因素影响较小,无法作为唯一诊断标准。
正常人肺部CT值的正常范围为-700至-300HU。CT值是CT扫描中用于量化组织密度的数值,单位为亨氏单位(HU)。肺部因含气量高,其CT值通常显著低于其他组织。
1、建议尽早采用低温等离子消融术切除肥大的腺样体。
2、治疗方面如是肝癌的话能手术的最好手术或射频治疗,有肝功能损害的话可以护肝治疗。如有乙肝且病毒有复制,可以考虑用核苷类药物抗病毒治疗。
单纯给你说明CT值35HU好像比较费事,也是比较难懂的专业词汇。你最好将报告内容再说一下便于给你解释。你非要了解的话,我只能告诉你:这个CT值表明该种组织是软组织的密度,不是骨头、钙化、脂肪等,比如肌肉、胃壁、肠壁等,当然,肿瘤有时候也是这种密度。
医学中的CT 全称:computed tomography CT是一种功能齐全的病情探测仪器,它是电子计算机X射线断层扫描技术简称。
肺CT值31是指CT检查结果中肺部的密度值为31HU。这一数值通常反映了肺部组织的健康程度,如果CT值过高或过低,可能会显示出肺部存在疾病的情况。肺CT值为31的情况通常是正常范围内的,不代表一定没有其他问题存在,需要配合临床医生的诊断才能作出准确的判断。

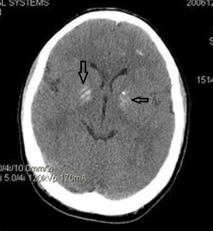
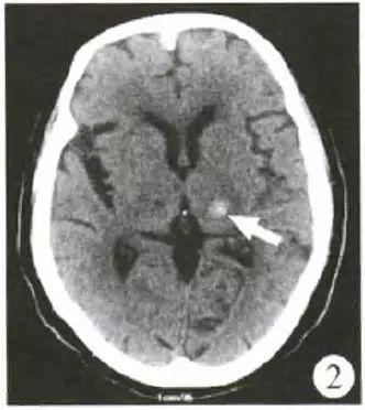
1、脑出血CT值40-45HU表示患者脑部存在较高密度的血肿,可能提示病情较严重,需结合临床情况综合判断。CT值是医学影像学中用于量化组织密度的单位,单位为亨氏单位(HU)。正常脑组织CT值约为25-45HU,而新鲜血液的CT值通常在40-80HU之间。
2、脑出血激活凝血系统后,血凝块形成,红细胞压积明显增加,CT上显示为高密度影,而腹腔出血往往为低密度的不凝血,原因为:呼吸运动、肠蠕动、腹膜的去纤维化纤维作用、创伤消耗凝血酶原等。一般不凝固的血液CT值约45HU,加上窗宽窗位和病变与邻近脏器密度对比的关系,腹腔出血往往显示为低密度。
3、头颅:脑组织窗宽设定为80HU~100HU,窗位为30HU~40HU;垂体及蝶鞍区病变窗宽宜设在200HU~250HU,窗位45HU~50HU。胸部:常规胸部CT检查分别用纵隔窗及肺窗观察。纵隔窗可观察心脏、大血管的位置等,设定纵隔窗可用窗宽300HU~500HU,窗位30HU~50HU;肺部窗宽1300HU~1700HU,窗位-600HU~-800HU。
4、如果测量到的肝门水平肝实质CT值约为39HU,这可能表明肝脏中存在较多的脂肪沉积,这与重度脂肪肝的情况相吻合。脂肪肝时,肝脏内的脂肪含量增加,导致其密度降低,因此CT值也会相应降低。至于脾脏,其正常CT值大约在40至65HU之间。
肾CT值HU是医学影像诊断中衡量肾脏密度的关键指标,它通过CT扫描技术得出。这个数值在-10到50范围内代表正常的肾实质组织,而50至75则可能指示钙化或结石的存在。此外,坏死组织的特性以及增强剂的吸收情况都会影响到这个数值的读取。在进行肾CT值HU检查前,准备工作至关重要。
肾CT值HU是指通过CT扫描测量肾脏组织密度所得到的数值,是反映肾脏局部组织密度的一个量化指标。在CT扫描中,不同的组织和器官由于其成分和结构的差异,对X射线的吸收能力也不同,这种吸收能力的差异通过CT图像上的灰度值来体现,而HU值就是对这些灰度值进行量化后的结果。

肾良性瘤的CT值(HU)无绝对固定精准数值,不能仅凭CT值判定肿瘤良恶性。具体分析如下:肾良性瘤的CT值范围肾血管平滑肌脂肪瘤(错构瘤)是常见肾良性肿瘤,其CT表现具有特征性:病灶呈混杂密度,内含脂肪密度影(脂肪成分CT值约40~100HU)和软组织成分(CT值约20~50HU)。
肾CT值HU是指在进行肾脏CT扫描时,通过测量组织对X射线的吸收程度所得出的数值,用于评估肾脏组织的密度和健康状态。以下是关于肾CT值HU的详细解释:定义与单位:HU即Hounsfield Unit,是CT扫描中用于量化组织密度的标准单位。肾CT值HU反映肾脏组织对X射线的吸收程度。
1、HU是指Hounsfield unit,用来检测任何部位在CT下的密度,一般0是水的密度,而空气是-1000,骨头是1500到2000,肝是60左右。脾脏一般30到40也是正常的。
2、CT值HU并无统一的“正常值”,而是因组织或病变部位不同存在显著差异。以下是常见组织或病变的CT值HU范围:软组织与液体类:目前测得的CT值范围较广,普通软组织CT值大约在0到1HU之间,例如肌肉组织。脑脊液作为特殊液体,其CT值大约为3到8HU之间,显著低于软组织。
3、至于脾脏,其正常CT值大约在40至65HU之间。如果测量到脾脏CT值约为56HU,这在正常范围内,表明脾脏的组织密度处于正常水平。脾脏的CT值一般不会因为脂肪含量的变化而显著改变,因此脾脏的CT值约为56HU并不能说明脾脏存在异常。
4、空气:完全透射X线,CT值最低(-1000 HU);水:作为参考标准,CT值定义为0 HU;软组织:如肌肉、器官,CT值范围约20-60 HU;骨骼:皮质骨可达+1000 HU,显示为高密度白色影像。
5、HU是CT(计算机断层扫描)中表示组织密度的单位,称为“亨氏单位”,其具体临床意义需结合检查部位综合判断。不同部位CT值44HU的临床意义如下:肝脏:正常肝脏CT值范围通常为40 - 60HU,44HU可能属于正常范围。但若低于脾脏密度(约52HU),可能提示脂肪肝或其他病变,如炎症、纤维化等。
发表评论
暂时没有评论,来抢沙发吧~