【新冠病毒肺为什么变白,新冠病毒肺为什么变白了】

admin 1 2025-11-21 17:40:19

出现白肺怎么治疗新冠出现白肺可以自愈吗

出现白肺的治疗方法是及时就诊,进行吸氧、使用呼吸机,严重时可采用体外膜肺氧合仪等,多数患者可以好转。新冠出现白肺,如果病情较轻通常可以自愈,但病情严重或急进性加重则不能自愈。出现白肺的治疗方法: 及时就诊:只要就诊及时,医生可以迅速采取相应措施。

新冠白肺是不可逆的。白肺患者的肺组织会发生几乎不可逆的肺纤维化、肺功能损伤,且不会自愈。如果不对白肺进行及时干预治疗,可能会导致人体无法正常进行呼吸和气血交换氧气,严重的话会危及生命。虽然部分患者经过治疗可以存活,但肺部往往难以恢复到原来的健康状态,绝大多数患者会留下肺部纤维化的后遗症。

轻度感染者,即使没有明显症状,也可能通过自身的免疫系统清除病毒,渗出物会随着康复逐渐吸收,白肺可能自愈。然而,对于病情严重者,如高热、乏力、咳嗽加重,伴有呼吸困难、多脏器功能衰竭等症状,如果不接受治疗,疾病会威胁生命安全,无法自愈,需积极就医并按医生指导进行治疗。

白肺无法自愈,如果不及时进行干预治疗,可能会危及生命。重症患者风险:重症白肺患者的死亡率较高,超过40%。虽然部分患者可以治愈,但绝大多数患者会留下肺部纤维化的后遗症,肺部很难恢复到原来的健康状态。恢复可能性:新冠白肺的恢复可能性因个体差异、病情严重程度和治疗及时与否而异。

肺变白色还能恢复吗

1、肺变白色能否恢复取决于具体病因和病情严重程度。肺炎导致的肺部变白:若及时进行有效治疗,如使用抗生素控制感染,配合止咳、化痰等对症治疗,肺部变白的情况可能改善并恢复正常。但若延误治疗,可能导致病情加重,影响恢复效果。

2、肺变白色能否恢复取决于具体病因、病情严重程度及个体差异,不同情况恢复潜力不同,可通过针对性治疗和综合支持促进恢复。从病因角度看,轻症细菌性肺炎或病毒性肺炎(如部分轻症新冠患者)经及时抗感染治疗,肺部病变可在数周至12周内逐渐吸收,肺变白情况改善。

3、肺变白色后能否恢复需分情况讨论,部分情况可缓解但完全恢复较困难。肺部变白本质是严重肺部感染或炎症导致的影像学表现,常见于病毒性肺炎、重症细菌性肺炎等。此时肺泡内充满渗出液、炎症细胞或纤维蛋白,气体交换功能显著下降,可能引发呼吸衰竭及多器官功能损伤。治疗及时性是关键。

4、给予积极抗炎治疗,并且维持肺部的呼吸功能,选择敏感的抗生素并且给予吸氧,甚至给予机械通气的治疗,多数能够通过治疗能够恢复正常的肺功能。如果病变比较严重,同时可能还伴随有心功能衰竭而引发呼吸衰竭,可能会随时有多器官功能出现有衰竭,这时恢复的几率不大,随时可能会导致生命安全的危险。

5、肺变白色能否恢复取决于具体病因、病情严重程度、治疗方法及个体身体状况。 可恢复的情况肺炎、肺水肿、肺不张等疾病导致的肺变白,通过规范治疗通常可恢复。例如:肺炎:由细菌、病毒等感染引起,通过抗生素、抗病毒药物及支持治疗(如休息、营养补充),多数患者肺部可恢复正常。

不是肺发白了就是白肺了,检查出来肺轻度发白该怎么办

保持室内通风,每日至少开窗2—3次,每次30分钟,降低空气中病原体浓度。避免接触已感染者,若家庭成员出现症状,需隔离并分房居住,减少交叉感染。

【新冠病毒肺为什么变白,新冠病毒肺为什么变白了】

典型案例与医生建议案例:报道中提及的初一女孩小云,被确诊为支原体肺炎且“肺叶都白了”,医生建议住院治疗。这表明肺部变白可能是严重感染的表现,需通过住院观察和系统治疗控制病情。

怀疑或确诊白肺后,需采取以下措施:及时就医白肺可能是肺炎、急性呼吸窘迫综合征等严重疾病的表现,应尽快前往医院就诊,通过胸部CT、血常规等检查明确病因及病情严重程度。早期诊断对控制感染、防止病情恶化至关重要。

应尽快就医并严格遵循医嘱。现代医学通过精准诊断(如病原学检测、血流动力学监测)和个体化治疗方案,已使许多白肺患者恢复健康。即使病情危重,早期介入仍可能逆转病程。总之,肺部变白是警示信号,但非“绝症”。及时就医、科学治疗和积极康复可显著提高生存率,多数患者有望重获正常生活。

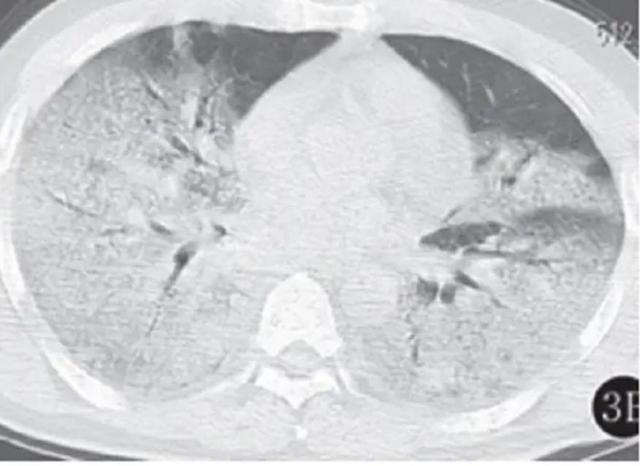
新冠肺炎的肺部影像什么颜色

1、具体来说,CT或者X光片的影像就像黑白照片,只有黑、白、灰三种颜色。这些颜色并不代表器官的真实颜色,而是反映了器官不同部位对X线的吸收能力。在正常情况下,肺泡组织中含气量多,肺充分膨胀,X线能够很容易地穿过肺组织,因此在胸片或CT上呈现为黑色。然而,当肺部出现炎症反应时,情况就会发生变化。

2、新冠肺炎的肺部影像在CT或X线上表现为白色。以下是关于新冠肺炎肺部影像颜色的详细解正常肺部与病变肺部的影像对比:正常人的肺部在CT或X线影像上呈现为相对黑色的区域。当肺部出现病变,如新冠肺炎时,X线的穿透力会减弱,导致病变区域在影像上呈现为白色。

【新冠病毒肺为什么变白,新冠病毒肺为什么变白了】

3、早期表现早期肺部CT以单发外周肺野磨玻璃影为主,表现为局部肺组织密度轻度增高,但仍可见血管及支气管纹理。此阶段磨玻璃影反映肺泡内渗出性改变,与病毒主要侵犯肺外周组织的特点相关。对于有新冠病毒接触史且出现呼吸道症状者,早期发现磨玻璃影需高度警惕新冠感染可能。

4、新冠患者出现“大白肺”是影像学上的一种表现,指的是双肺大部分失去了作用,在CT上呈现为白色。这通常意味着患者的病情已经相当严重,因为肺组织是用来呼吸的,当肺泡内充满液体或细胞成分时,空气就无法被吸入,导致患者产生窒息感,无法缓解缺氧症状。

5、新冠感染患者的CT影像表现主要包括以下方面: 肺部磨玻璃影和实变影这是新冠感染最常见的CT表现。磨玻璃影反映肺部炎症,表现为局部肺组织密度轻度增高,呈云雾状;实变影则提示肺泡内充满炎症细胞和渗出物,导致肺组织密度显著增高,类似肺炎表现。二者常同时出现,提示病变进展。

6、新冠肺炎即新型冠状病毒肺炎,患者的肺部影像在CT或X线上表现为白色。肺部阴影是影像学名词,目前造影成像的原理即通过X线穿透组织后打在胶片或底板上形成影像,基本为黑白色。正常人的肺是相对黑色的区域,而肺部出现阴影的情况下,X线的穿透力会减弱,在CT或X线片上会表现为白色影像。

新冠重症肺炎一旦形成“大白肺”就意味着生命倒计时,何为大白肺

“大白肺”通常出现在危重症患者中,是肺部炎症非常严重的表现。当肺部出现“大白肺”时,基本上失去了气体交换的能力,患者会出现明显的缺氧、呼吸费力等症状,末梢血氧饱和度也会下降。对于这类患者,通常需要呼吸机辅助呼吸,甚至需要ECMO体外生命支持来维持生命。

新冠患者出现“大白肺”并不意味着生命绝对倒计时,有效治疗方法确实存在。新冠患者出现“大白肺”是影像学上的一种表现,指的是双肺大部分失去了作用,在CT上呈现为白色。

首先说明一点,感染新型冠状病毒以后,并不是所有患者肺部CT都是全白的,只有少数重症患者,才会出现大白肺的CT表现。从全国各医疗单位收治的患者来看,多数患者预后良好,儿童症状相对较轻,少数患者病情危重。

上一篇:浙江省新增确诊病例323例/浙江新增确诊病例最新
下一篇:南京病毒航班:南京航班阳性
相关文章

 发表评论

暂时没有评论,来抢沙发吧~